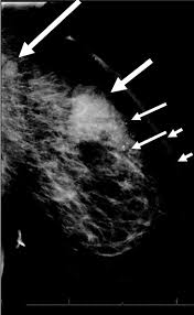
What Does Inflammatory Breast Cancer Look Like On Mri - Breast Cancer Gynecology And Obstetrics Msd Manual Professional Edition / Inflammatory breast cancer pictures show a red and/or swollen breast that appears inflamed.
Dapatkan link
Facebook
X
Pinterest
Email
Aplikasi Lainnya
What Does Inflammatory Breast Cancer Look Like On Mri - Breast Cancer Gynecology And Obstetrics Msd Manual Professional Edition / Inflammatory breast cancer pictures show a red and/or swollen breast that appears inflamed.. You may notice dimpling or pitting, and the skin on your breast. Cancer begins when uncontrollably change and grow, forming a sheet of cells called a tumour. It blocks the lymph vessels in the skin of your breast. Inflammatory breast cancer inflammatory breast cancer is a rare type of breast cancer that develops rapidly, making the affected breast red, swollen and tender. Symptoms of inflammatory breast cancer include swelling (edema) and redness (erythema) that affect a third or more of the breast.
When the cancer grows into the rest of the body through the blood vessels and lymph vessels, breast cancer spreads. Inflammatory breast cancer occurs when cancer cells block the lymphatic vessels in skin covering the breast, causing the characteristic red, swollen appearance of the breast. Inflammatory breast cancer inflammatory breast cancer is a rare type of breast cancer that develops rapidly, making the affected breast red, swollen and tender. A breast mri usually is performed after you have a. The usual cause of inflammatory breast symptoms is breast mastitis or duct ectasia.
Mri Breast Cancer Detection from breast-cancer.ca Mri of inflammatory breast cancer women's imaging original research. They're often easy to move around (mobile) and may be tender. Inflammatory breast cancer pictures and symptoms Inflammatory breast cancer (ibc) is rare, making up about 2 to 4 percent of breast cancer cases. A small red spot that looks very much like an insect bite or rash can be an early sign of ibc. But not every woman who has been diagnosed with breast cancer needs a breast mri. The features of a malignant breast condition on mri scan are often to do with the outer irregular borders of a lesion. Clinically, inflammatory breast cancer mimics mastitis.
However, these signs and symptoms are most often associated with benign breast conditions.
The features of a malignant breast condition on mri scan are often to do with the outer irregular borders of a lesion. Inflammatory breast cancer affects breast tissue and can appear unusually dimpled or thick. Absence of lump or breast mass in a patient suffering from an inflammatory skin condition of the breast, suggests the presence of skin or subcutaneous inflammatory condition caused by either infection or inflammatory breast cancer. The skin looks like the skin of an orange, and may be discolored with painful and itchy breast. The breast is enlarged (often of relatively short onset), indurated, erythematous, warm, and may be tender and painful. But not every woman who has been diagnosed with breast cancer needs a breast mri. What does breast cancer look like on a mammogram? A lump in the breast. Breast mri is sometimes used in women who already have been diagnosed with breast cancer, to help measure the size of the cancer, look for other tumors in the breast, and to check for tumors in the opposite breast. Most cases are invasive ductal carcinomas, which develop in the cells lining the milk ducts and spread throughout the breast. The breast can also be painful in inflammatory breast cancer, but this is not always the case. Evaluating the impact of preoperative breast magnetic resonance imaging on the surgical management of newly diagnosed breast cancers. When the cancer grows into the rest of the body through the blood vessels and lymph vessels, breast cancer spreads.
Inflammatory breast cancer affects breast tissue and can appear unusually dimpled or thick. Clinically, inflammatory breast cancer mimics mastitis. Breast infections can cause redness and swelling. They're often easy to move around (mobile) and may be tender. Inflammatory breast cancer (ibc) is rare, making up about 2 to 4 percent of breast cancer cases.
Ovarian Cancer Metastatic To The Breast Presenting As Inflammatory Breast Cancer A Case Report And Literature Review from www.jcancer.org This type of cancer also changes the appearance of your breasts. What does breast cancer look like on a mammogram? Inflammatory breast cancer develops when cancer cells block the lymph vessels in the skin of the breast. However, these signs and symptoms are most often associated with benign breast conditions. Breast infections can cause redness and swelling. The skin looks like the skin of an orange, and may be discolored with painful and itchy breast. Breast mri images are combined, using a computer, to create detailed pictures. Bilimoria ky, cambic a, hansen nm, bethke kp.
Unlike traditional forms of breast cancer, inflammatory breast cancers do not develop unusual lumps within the affected breast.
Inflammatory breast cancer is an an aggressive and fast growing breast cancer in which cancer cells infiltrate the skin and lymph vessels of the breast. They're often easy to move around (mobile) and may be tender. Ibc symptoms are caused by cancer cells blocking lymph vessels in the skin causing the breast to look inflamed. symptoms include breast swelling, purple or red color of the skin, and dimpling or thickening of the skin of the breast so that it may look and feel like an orange peel. Unlike traditional forms of breast cancer, inflammatory breast cancers do not develop unusual lumps within the affected breast. The skin is thickened and edematous, classically with a peau d'orange appearance. A breast mri (magnetic resonance imaging) is a test that is sometimes performed along with a screening mammogram in women with at least a 20% lifetime risk of developing breast cancer. What does breast cancer look like on a mammogram? Mri of breast can help breast cancer diagnosis. Inflammatory breast cancer inflammatory breast cancer is a rare type of breast cancer that develops rapidly, making the affected breast red, swollen and tender. A rash isn't the only visual symptom of inflammatory breast cancer. Inflammatory breast cancer (ibc) is rare, making up about 2 to 4 percent of breast cancer cases. Inflammatory breast cancer pictures and symptoms The skin looks like the skin of an orange, and may be discolored with painful and itchy breast.
Inflammatory breast cancer occurs when cancer cells block the lymphatic vessels in skin covering the breast, causing the characteristic red, swollen appearance of the breast. A rash isn't the only visual symptom of inflammatory breast cancer. Inflammatory breast cancer inflammatory breast cancer is a rare type of breast cancer that develops rapidly, making the affected breast red, swollen and tender. J natl compr canc netw. A lump in the breast.
The Radiology Assistant Mri Of The Breast from radiologyassistant.nl Inflammatory breast cancer pictures and symptoms The breast can also be painful in inflammatory breast cancer, but this is not always the case. The skin of the breast may also appear pink, reddish purple, or bruised. Ridges or thickening of the skin of the breast. Inflammatory breast cancer (ibc) is rare, making up about 2 to 4 percent of breast cancer cases. Need to have physical exam, mammogram, and ultrasound as needed. Sometimes it can be difficult to tell the difference between mastitis and inflammatory breast cancer. Absence of lump or breast mass in a patient suffering from an inflammatory skin condition of the breast, suggests the presence of skin or subcutaneous inflammatory condition caused by either infection or inflammatory breast cancer.
Any area that does not look like normal tissue is a possible cause for concern.
It blocks the lymph vessels in the skin of your breast. They're often easy to move around (mobile) and may be tender. When the cancer grows into the rest of the body through the blood vessels and lymph vessels, breast cancer spreads. Breast lesions and chest wall abnormalities 8. Pitting, thickening, or dimpling of skin on the breast, so that it looks like an orange peel, a condition called peau d'orange. Most cases are invasive ductal carcinomas, which develop in the cells lining the milk ducts and spread throughout the breast. To help determine the extent of breast cancer: There may or may not be an underlying palpable mass. Mri of breast can help breast cancer diagnosis. Inflammatory breast cancer pictures show a red and/or swollen breast that appears inflamed. A breast mri usually is performed after you have a. J natl compr canc netw. If these tests don't answer the quest.
How To Make A Post Card : How To Make A Floral Bracelet / Wrist Corsage | Diy wrist ... : Have you ever wished there was a postcard with that same image? . Have you ever wished there was a postcard with that same image? Sub out the imagery with your photos or browse from. How many times have you been somewhere and seen something that reminded you of a friend? How to create a postcard on fotor. How to make a postcard. To make postcards in word, start with a new blank document. You don't need to be a professional graphic designer to use the tool and create a beautiful design, but novices can also create a fantastic design. Postcards are a great source for any historical information needed. If you want a graphic on them, insert a clip art picture or one from your computer click on envelopes and labels, and click on the labels tab. Write about how it made you feel and why it was significant in your memory. ...
Cancer Rising Appearance Traits : Cancer as Rising-sign | Astrology Online / These interpretations are from the karmic insight report, and are written from an esoteric viewpoint. . Cancer rising appearance the typical physical appearance of cancer rising, a full round face, round eyes, stout body, and sparse hair can also be mitigated by the sign of their moon. They have cylindrical or round shaped features and as they tend to grow old they tend to be brawny or start becoming heavily built. For this reason, cancer rising people are often considered distant and aloof. When it comes to appearance, cancer rising people have a round face shaped like the moon. Since the rising sign or ascendant affects first impressions, some might mistake you for a cold, ornery type. If you're a cancer rising or cancer ascendant, here's what astrology says about your personality traits, characteristics, and even physical appearance. The majority of people have a private and publ...
Does Early Menopause Increase Risk Of Breast Cancer - Breast Cancer Amboss / That's probably because she's been. . Use of oral contraceptives or hormone replacement therapy do not increase the risk of bladder cancer. Early menarche and late menopause are two risk factors associated with the reproductive life of a woman, together with, for example, the age it should be noted that the increased risk of developing breast cancer was higher for early menarche than for late menopause, probably due to excessive. Certain factors increase the risk of breast cancer including increasing age, obesity, harmful use of alcohol, family history of breast cancer, history of radiation exposure, reproductive history (such as age that menstrual periods began and age at first pregnancy), tobacco use and postmenopausal. So women going through menopause have a greater starting menopause after age 55 increases a woman's risk of breast cancer and endometrial cancer. Menopause does not cause c...
Komentar
Posting Komentar