What Is Early Stage Throat Cancer - Mouth And Throat Cancer Ear Nose And Throat Disorders Msd Manual Consumer Version : This means the cancer has spread to nearby tissue, one or more lymph nodes on the neck, or other parts of the body beyond the throat.
Dapatkan link
Facebook
X
Pinterest
Email
Aplikasi Lainnya
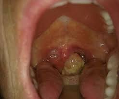
What Is Early Stage Throat Cancer - Mouth And Throat Cancer Ear Nose And Throat Disorders Msd Manual Consumer Version : This means the cancer has spread to nearby tissue, one or more lymph nodes on the neck, or other parts of the body beyond the throat.. So what are the early symptoms of throat cancer? It could be an infection, but it's also an early warning of mouth, throat, thyroid, and voice box (larynx) cancers. Stage i (stage 1 throat cancer): Stage 4 is the most advanced stage of throat cancer. Throat cancer life expectancy is approximately 2 to 3 years.
Stage i cancer is no more than 2 centimeters in size (about 1 inch) and has not spread to lymph nodes in the area. What is stage 1 throat cancer? A look at the disease, its incidence in india and the prognosis of throat cancer: If the hoarseness doesn't go away within two weeks, see a doctor. The tumor has grown larger than 7 cm;
Staging System For Hpv Throat Cancer Head And Neck Cancer Alliance from www.headandneck.org Survival rates for laryngeal and hypopharyngeal cancers. 5 essential signs of throat cancer to look for. Stage i describes a very early stage of cancer. The exception to this rule is only the zero stage (precancer), in which pathological changes in the tissues do not manifest themselves and can only be detected by an accidental diagnostic examination of the respiratory organs. If you have one that doesn't. Cancer has not spread to any other tissue or organ apart from your throat. If diagnosed early, throat cancer has a high survival rate. Symptoms of throat cancer symptoms of throat cancer are not shown at an early stage so it becomes difficult to detect.
The early symptoms of throat cancer may be similar to a cold in the early stages (e.g., a persistent sore throat).
Stage ii (stage 2 throat cancer): For this reason, although you might not be a high risk for it, it's important to know the early signs of throat cancer. If the hoarseness doesn't go away within two weeks, see a doctor. The most common early warning sign of throat cancer is a persistent sore throat. The exception to this rule is only the zero stage (precancer), in which pathological changes in the tissues do not manifest themselves and can only be detected by an accidental diagnostic examination of the respiratory organs. If diagnosed early, throat cancer has a high survival rate. Some of the early symptoms of throat cancer include a hoarse voice, constant sore throat, and the persistent feeling of a lump in the throat. Luckily, these noticeable changes often lead to an earlier diagnosis and are one of the early throat cancer symptoms, according to the american cancer society. The early symptoms of throat cancer may be similar to a cold in the early stages (e.g., a persistent sore throat). Hypopharyngeal cancer hypopharyngeal cancer is less likely to produce symptoms at an early stage, making it harder to spot. Early diseases included phase i, phase ii and some stage iii cancers Throat cancer survival rates in stage 4: Stage 1 throat cancer can be used to refer to either stage 1 hypopharyngeal or stage 1 oropharyngeal cancer.
At this stage, the tumor has gained control over the entire body. If you have a sore throat lasts for more than two weeks, the american cancer society recommends you see a doctor immediately. In stage 1 throat cancer, the tumours are either limited (isolated) to either one part of the hypopharynx, or the tumour size is less than or equal to 2 cms in its greatest dimension. What is stage 1 throat cancer? Throat cancer survival rates in stage 4:
Early Throat Cancer Symptoms And Ways To Prevent from lh5.googleusercontent.com Early stage disease includes stage i, ii, and some stage iii cancers. The lymph glands, throat and even other parts of the body are affected. Early symptoms of throat cancer include hoarseness of the voice, difficulty in normal voice production during speech, changes in the voice, sore throat, continuous dry cough, perceivable pain while swallowing saliva, liquid and solid food, pain in the ear, difficulty breathing, a small swelling or a lump in the throat or neck region, and unexplained weight loss. Early stage cancers of the throat are small, localized, and highly curable when treated with surgery and/or radiation therapy. The different stages in throat cancer are defined as follows. The tumor has grown larger than 7 cm; Stage ii throat cancer stage ii describes a tumor that is larger than two centimeters but not more than four centimeters. If you have one that doesn't.
The tumor is lesser than 7 cm and has only developed in the throat.
Symptoms of throat cancer symptoms of throat cancer are not shown at an early stage so it becomes difficult to detect. Advanced symptoms of throat cancer Throat cancer is a general term that applies to cancer that develops in the throat (pharyngeal cancer) or in the voice box (laryngeal cancer). Survival rates for laryngeal and hypopharyngeal cancers. If you have a sore throat lasts for more than two weeks, the american cancer society recommends you see a doctor immediately. Some of the early symptoms of throat cancer include a hoarse voice, constant sore throat, and the persistent feeling of a lump in the throat. Throat cancer may not be curable once malignant cells spread to parts of the body beyond the neck and head. 5 essential signs of throat cancer to look for. However, it remains in the throat. The exception to this rule is only the zero stage (precancer), in which pathological changes in the tissues do not manifest themselves and can only be detected by an accidental diagnostic examination of the respiratory organs. Meanwhile, throat cancer in its early stages has well recognizable symptoms. Early stage disease includes stage i, ii, and some stage iii cancers. The tumor is small (2 cm or less across) and limited to the throat.
Hypopharyngeal cancer hypopharyngeal cancer is less likely to produce symptoms at an early stage, making it harder to spot. Detecting throat cancer at an early stage is difficult to identify. If the hoarseness doesn't go away within two weeks, see a doctor. I am a 19 year old male. Early diseases included phase i, phase ii and some stage iii cancers
Throat Cancer India Pdf Ppt Case Reports Symptoms Treatment from www.omicsgroup.org 5 essential signs of throat cancer to look for. At this stage, the tumor has gained control over the entire body. Early stage cancers of the throat are small, localized, and highly curable when treated with surgery and/or radiation therapy. Throat cancer survival rates in stage 4: Throat cancer is a general term that applies to cancer that develops in the throat (pharyngeal cancer) or in the voice box (laryngeal cancer). The tumor is small (2 cm or less across) and limited to the throat. In stage 1 throat cancer, the tumours are either limited (isolated) to either one part of the hypopharynx, or the tumour size is less than or equal to 2 cms in its greatest dimension. Later stages indicate more advanced cancer, with stage iv being the most advanced.
Stage 1 throat cancer can be used to refer to either stage 1 hypopharyngeal or stage 1 oropharyngeal cancer.
Read 5 common signs to identify if you have throat cancer. In stage 1 throat cancer, the tumours are either limited (isolated) to either one part of the hypopharynx, or the tumour size is less than or equal to 2 cms in its greatest dimension. Some of the early symptoms of throat cancer include a hoarse voice, constant sore throat, and the persistent feeling of a lump in the throat. The early symptoms and signs of throat cancer may vary. A look at the disease, its incidence in india and the prognosis of throat cancer: Cancer has not spread to any other tissue or organ apart from your throat. Many symptoms like throat infection, sore throat, common cold, and hoarseness are confused with throat cancer. If diagnosed early, throat cancer has a high survival rate. Sore throat and hoarseness that persists for more than two weeks. When surgery and/or radiotherapy is treated, the early cancers of the pharynx are small, topical and highly treatable. I had an on and off sore throat and hoarseness for many many months, but was a smoker, so didn't think too much about it. Early symptoms and signs in the early stages of throat cancer, a person may experience a persistent sore throat and difficulty swallowing. Stage 4 is the most advanced stage of throat cancer.
How To Make A Post Card : How To Make A Floral Bracelet / Wrist Corsage | Diy wrist ... : Have you ever wished there was a postcard with that same image? . Have you ever wished there was a postcard with that same image? Sub out the imagery with your photos or browse from. How many times have you been somewhere and seen something that reminded you of a friend? How to create a postcard on fotor. How to make a postcard. To make postcards in word, start with a new blank document. You don't need to be a professional graphic designer to use the tool and create a beautiful design, but novices can also create a fantastic design. Postcards are a great source for any historical information needed. If you want a graphic on them, insert a clip art picture or one from your computer click on envelopes and labels, and click on the labels tab. Write about how it made you feel and why it was significant in your memory. ...
Cancer Rising Appearance Traits : Cancer as Rising-sign | Astrology Online / These interpretations are from the karmic insight report, and are written from an esoteric viewpoint. . Cancer rising appearance the typical physical appearance of cancer rising, a full round face, round eyes, stout body, and sparse hair can also be mitigated by the sign of their moon. They have cylindrical or round shaped features and as they tend to grow old they tend to be brawny or start becoming heavily built. For this reason, cancer rising people are often considered distant and aloof. When it comes to appearance, cancer rising people have a round face shaped like the moon. Since the rising sign or ascendant affects first impressions, some might mistake you for a cold, ornery type. If you're a cancer rising or cancer ascendant, here's what astrology says about your personality traits, characteristics, and even physical appearance. The majority of people have a private and publ...
Does Early Menopause Increase Risk Of Breast Cancer - Breast Cancer Amboss / That's probably because she's been. . Use of oral contraceptives or hormone replacement therapy do not increase the risk of bladder cancer. Early menarche and late menopause are two risk factors associated with the reproductive life of a woman, together with, for example, the age it should be noted that the increased risk of developing breast cancer was higher for early menarche than for late menopause, probably due to excessive. Certain factors increase the risk of breast cancer including increasing age, obesity, harmful use of alcohol, family history of breast cancer, history of radiation exposure, reproductive history (such as age that menstrual periods began and age at first pregnancy), tobacco use and postmenopausal. So women going through menopause have a greater starting menopause after age 55 increases a woman's risk of breast cancer and endometrial cancer. Menopause does not cause c...
Komentar
Posting Komentar